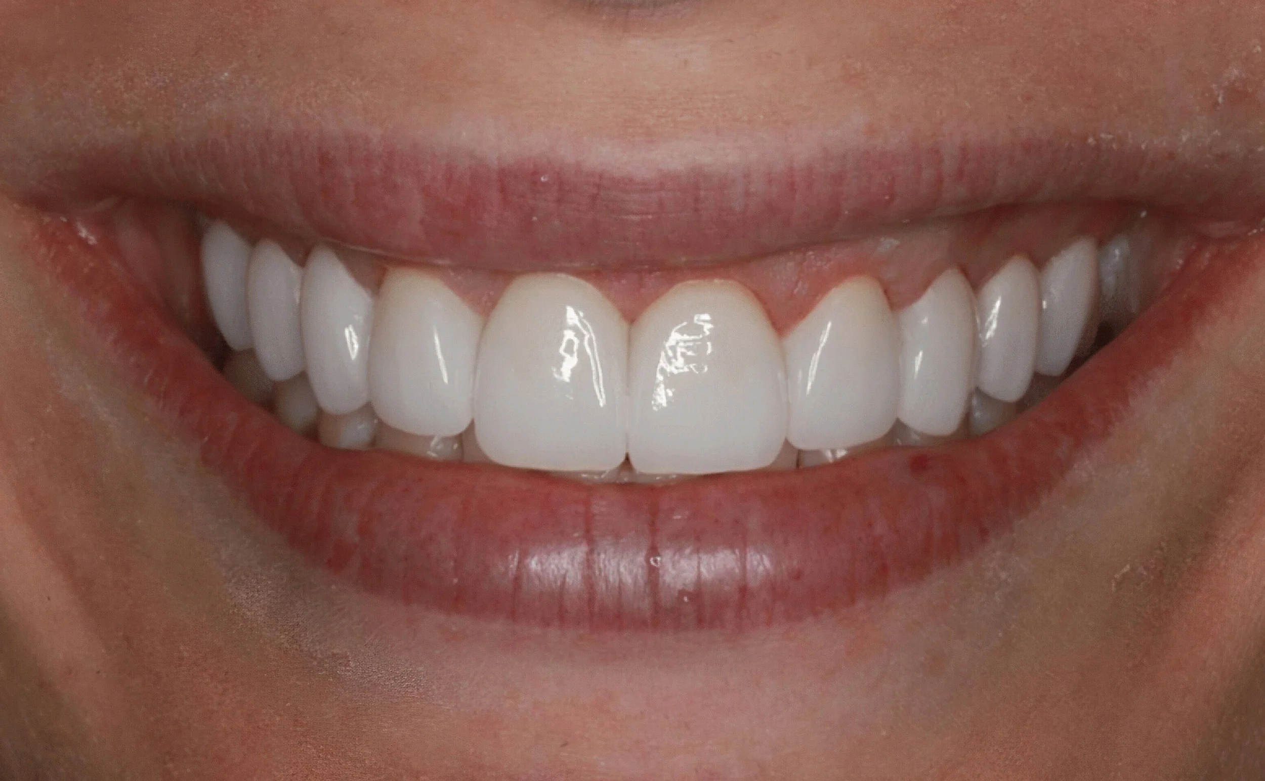
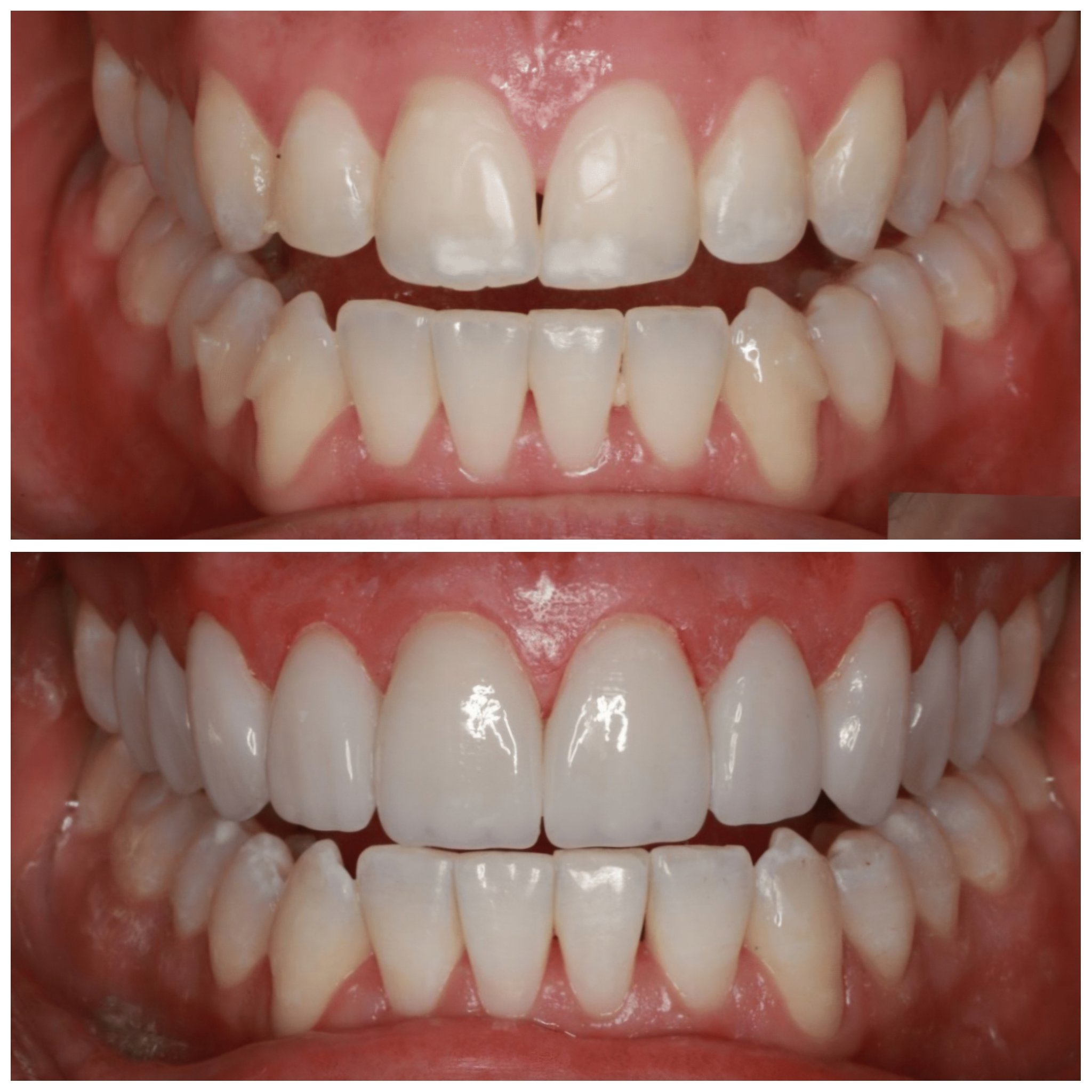
Ceramics
LiSi and E.max pressed, cut back and layered ceramic cases done at UVDL. PFM's done at Artisan Dental Laboratory
LiSi and E.max pressed, cut back and layered ceramic cases done at UVDL. PFM's done at Artisan Dental Laboratory